Nicotinic Acid (Vitamin B3) Therapeutic Implications in A Lethal Infantile Leukoencephalopathy Caused by APOA1BP Mutation in Saudi Family
Somaia Daghriri*, Abdullah Daghriri and Hesham Al Dhalaan
Department of Neuroscience, Pediatric neurology, Saudi Arabia
Submission: November 16, 2018;Published: November 21, 2018
*Corresponding author: Somaia Daghriri, Department of Neuroscience, Pediatric neurology, King Fasial Specialist Hospital and Research Center, Saudi Arabia
How to cite this article: Somaia D, Abdullah D, Hesham A D. Nicotinic Acid (Vitamin B3) Therapeutic Implications in A Lethal Infantile Leukoencephalopathy Caused by APOA1BP Mutation in Saudi Family. Theranostics Brain Spine Neuro Disord. 2018; 4(1): 555628. DOI: 10.19080/TBSND.2018.04.555628
Abstract
Background: Genetic leukoencephalopathies represent a diverse group of disorders with progressive degeneration of the white matter. In these disorders, many genes are involved in several cellular pathways.
Aim of study: To report for the first time in Saudi Arabia four siblings who developed normally during their first year of life, but they presented afterwards with severe and fatal leuckoencephalopathy with an identified homozygous mutation in the APOA1BP.
Case series report: We report four siblings (three boys and one girl), who were children of healthy first degree cousins’ Saudi parents. The four cases developed normally during their first year of life, but they presented afterwards with fatal leuckoencephalopathy. Genetic testing indicated that they carried two pathogenic copies of autosomal recessive APOA1BP homozygous mutation that may cause lethal infantile leukoencephalopathy. All four siblings died with rapid complications of same gene mutation.
Conclusion: Lethal infantile leukoencephalopathy is an autosomal recessive severe neurometabolic disorder, characterized by rapidly progressive neurologic deterioration which is usually associated with febrile illness. Consanguinity is a risk factor. Affected children tend to show normal early development, followed by acute psychomotor regression with ataxia, hypotonia, respiratory insufficiency, and seizures, resulting in coma and death.
Keywords: Neurodegenerative disease; Leukoencephalopathy; APOA1BP Gene; Nicotine amide nucleotides; Saudi arabia.
Introduction
The term “consanguinity” describes marriage between couples who share at least a “common ancestor”. The “mating” of couples who are genetically more to each other, rather than mating at random, may increase the risk to genetic disorders, due to the increased probability of the expression of “autosomal recessive gene mutations”, being inherited from a common ancestor. Therefore, the closer the biological relationship between parents, the higher probability that their children will inherit similar copies of unfavorable recessive genes [1].
Neurodegenerative diseases among children are very rare. Their etiology may be either genetic or non-genetic. They include disorders with progressive loss of neurological function attributed to structural abnormalities within the central nervous system. They collectively represent over about 25% of admissions to pediatric neurology services. Neurodegenerative diseases are heterogeneous group of disorders, commonly with inborn error of metabolism, that results in irreversible rapidly progressive brain damage, leading to coma and finally to death, mainly triggered by febrile illness [2].
Since neurodegenerative diseases are rare among children, their diagnosis depends mainly on a high index of suspicion, properly assembling relevant clinical data with results of proper investigations. Reaching an accurate diagnosis holds significance for genetic counseling and possibly the future prevention of these diseases. However, the detection of neurodegenerative diseases is frequently impeded by failure to recognize it among other common pediatric problems. Moreover, pediatricians who face a child with a progressive encephalopathic picture have to determine if the disease involves the central nervous system only or there are associated multi-system involvements; if it is limited only to the central nervous system, or the peripheral nerves; and whether there is grey matter or white matter involvement [3]. Genetic leukoencephalopathies represent a diverse group of disorders with progressive degeneration of the central nervous system’s white matter. Cases often present with various clinical features e.g., dementia, movement disorders, ataxia and upper motor neuron signs, accompanied by hyperintense signal abnormalities in the central nervous system on T2-weighted magnetic resonance imaging [4]. In these disorders, there are many genes involved in diverse cellular pathways including myelin formation, mitochondrial health and protein translation [5]. This heterogeneity, in combination with frequently overlapping clinical and radiological findings, make definitive diagnosis quite difficult [6]. Recently, advances have been made in the understanding of leukoencephalopathy among children, with particular emphasis on improvements in diagnostic approach [7].
Cases Reporting
In this case series, we report four siblings (three boys and one girl). They were children of healthy first degree cousins’ Saudi parents. All patients were born following an uneventful pregnancy. Their Apgar scores, birth weights and head circumferences were normal. The four cases developed normally during their first year of life. However, they presented afterwards with severe and fatal leuckoencephalopathy with an identified homozygous mutation in the APOA1BP. Genetic testing by whole exome sequencing indicated that they carried two pathogenic copies of autosomal recessive APOA1BP homozygous mutation that may cause lethal infantile leukoencephalopathy. Parents have been found to be carriers. All four siblings died with rapid complications of same gene mutation. It is the first report of a defect in the nicotinamide nucleotide repair system in a Saudi family.
Case #1
A boy, whose growth and development were within normal. At the age of 14 months, he started to develop progressive episodic dystonia, in the form of arching back and neck, with regression of speech. Deep tendon reflexes were preserved bilaterally, but previously acquired motor milestones, such as walking, sitting and rolling, were lost within days. The course was complicated by the gradual development of generalized hypotonia, with difficulty in swallowing, seizure and loss of cognitive skills, followed by global deterioration. He was transferred to the intensive care due to respiratory distress, arrhythmia and was intubated, whole exome sequencing showed homozygous mutation of APOA1BP that caused lethal infantile leukoencephalopathy then he died at the age of two years
Case #2
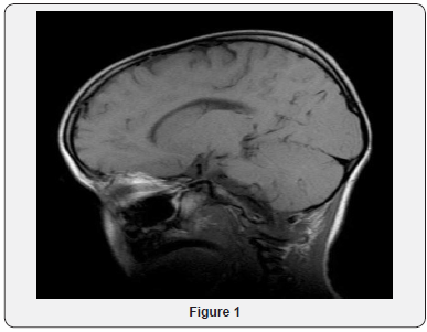
A boy who developed normally for the first 2 years. At the age of two years and 9 months, he developed an episode of unsteadiness in the morning and had some difficulty raising his head with eye crossing for a short period of time, which resolved spontaneously. Then, there was deterioration in his milestones and skills with episodes of dystonia. A massive deterioration occurred after he developed high grade fever, with decreased tone and hyper-extension of the neck, with episodes of lowered consciousness level and seizures. He was not able to turn his head with generalized hypotonia and bilateral brisk reflexes. The patient was admitted in our hospital and during the initial episodes’ electroencephalography disclosed the presence of diffuse slowing and the absence of consistent background activity. Results of extensive laboratory investigations (e.g., complete blood count, serum routine chemistry, glucose, amino acids, lactate, acylcarnitines, urine gas chromatography-mass spectrometry, thyroid functions, creatinine kinase ammonia, very long chain fatty acids and pyruvate) were all within normal limits. Lumbar puncture and cultures of cerebrospinal fluid were negative. Also results of peripheral blood for neuronal ceroid lipofuscinoses (NCL) and mitochondrial DNA mutation analysis did not show any abnormality. Initial magnetic resonance imaging (MRI) and magnetic resonance spectroscopic (MRS) revealed no definite abnormality (Figures 1-3).










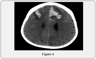
Echocardiogram Holter monitor and Eye examination all were normal. The patient underwent muscle biopsy which showed mild lipid myopathy with type 2 muscle fiber atrophy, but with no morphological evidence of mitochondrial disease. A stat CT brain showed hemorrhagic infarction and some fresh bleeding in subarachnoid space (not older than 3 days), possibly on the basis of ischemic lesions, considering the further hypodense lesions in the parasagittal area on bi-occipital and parieto-occipital regions, more extended on the left side (Figure 4). The neurosurgery team was notified, but it was determined that the patient has poor prognosis and is not candidate for surgery. Gradually, the patient developed respiratory distress and was transferred to the intensive care unit and required mechanical ventilation. He was monitored continuously by EEG. At that time, he showed subclinical seizures originating from the posterior head region, right side more than left. A burst suppression pattern was established, but during the burst period he was having multifocal spikes and polyspikes. Brain MRI showed massive hemorrhagic infarction of non-vascular distribution pattern involving the posterior occipito-parietal, region with brain stem area and cerebellum (Figures 5-9) and a lesion extending to the temporo-parietal region (Figures 5,7). Cerebral angiography showed multiple territorial hemorrhagic infarctions, with no blood entering intracranially in a case of massive intracranial edema, suggesting brain death (Figure 10). Using homozygosity mapping followed by whole exome sequencing, we identified a homozygous mutation of APOA1BP that caused lethal infantile leukoencephalopathy. The patient continued to deteriorate, then died at the age of four years.
Case #3
A boy that presented at the age of 14 months with progressive intermittent dystonia and unsteadiness. Then, he developed spasticity with intractable epilepsy. The course was complicated by the gradual development of generalized encephalopathy. MRI brain was unremarkable genetic test confirmed a homozygous mutation of APOA1BP like his brothers. He became bed-ridden few months prior to his death at the age of 18 months.
Case #4
A girl who started at the age of 16 months to have seizures and lost her motor skill, followed by global deterioration. Physical examination revealed small hypo-pigmented spot in the right iliac fossa, head lag, hypertonia in the upper limb and normal tone and reflexes in lower limbs. MRI brain showed agenesis of the corpus callosum. She required mechanical ventilation due to respiratory muscle failure culminating in a vegetative state Also we identified a homozygous mutation of APOA1BP that caused lethal infantile leukoencephalopathy. She died at the age of two years. Other two sibling, one carrier same gene(APOA1BP) and one healthy.
Discussion
In this case series, we reported, for the first time in Saudi Arabia, four siblings of consanguineous family, first degree cousins’ Saudi parents, who developed normally during their infancy, then presented afterwards with progressive and fatal leuckoencephalopathy. Similarly, Spiegel et al. [8] reported 5 siblings (two boys and three girls) of a consanguineous first-degree cousins’ Arab Muslim family, who developed normally during their infancy then presented with a severe leukoencephalopathy after a trivial febrile illness. It has been reported by several studies that more than 50% of marriages in the Arabian Gulf countries are consanguineous, being 54% in Qatar [9], 50.5% in the United Arab Emirates [10] and 56% in the Kingdom of Saudi Arabia [11], with the first-cousin consanguinity being the most common type. The association between consanguinity and genetic disorders has been widely stated. Shawky et al. [12] reported that autosomal recessive disorders were associated with highest rates of consanguinity (78.8%). Consanguinity was also present in 69.8% of patients with neurodegenerative disease. In our case series, homozygous mutation in the APOA1BP was identified, with a defect in the nicotinamide nucleotide repair system. Spiegel et al. [8]. stated that the emerging use of new genetic technologies, e.g., whole exome sequencing has become an important tool in the identification of the genetic causes among patients with neurodegeneration and the discovery of novel genes associated with these syndromes. Kremer et al. [13]. added that a homozygous mutation in the APOA1BP (known now as NAXE), encodes an epimerase that catalyze R to S epimerization of NAD(P)HX, a crucial step in the dehydration of these metabolites accumulating during cellular metabolism, mutation resulting in substitution of highly conserved alanine residue with aspartic acid. Increases in these toxic metabolites after exposure to heat stress. They suggested that nicotinic acid (vitamin B3) supplementation might have therapeutic implications for this disorder. However, further studies are still required to explore this potential treatment strategy. In conclusion, lethal infantile leukoencephalopathy is an autosomal recessive severe neurometabolic disorder, characterized by rapidly progressive neurologic deterioration which is usually associated with febrile illness. Consanguinity is a risk factor. Affected children tend to show normal early development, followed by acute psychomotor regression with ataxia, hypotonia, respiratory insufficiency, and seizures, resulting in coma and death. Its diagnosis is important, as palliative or experimental therapies may offer benefits for reproductive counseling and family screening.
References
- Robin LB, Arno GM, Alan B, Louanne H, Stefanie U, et al. (2002) Genetic counseling and screening of consanguineous couples and their offspring: recommendations of the national society of genetic counselors. J Genet Couns 11(2): 97-119.
- Dyken P, Krawiecki N (1983) Neurodegenerative diseases of infancy and childhood. Ann Neurol 13(4): 351-364.
- Wong V (1997) Neurodegenerative diseases in children. HKMJ 3: 89- 95.
- Vanderver A, Prust M, Tonduti D, Mochel F, Hussey HM, et al. (2015) Case definition and classification of leukodystrophies and leukoencephalopathies. Mol Genet Metab 114(4): 494-500.
- Parikh S, Bernard G, Leventer RJ, van der Knaap MS, van Hove J, et al. (2015) A clinical approach to the diagnosis of patients with leukodystrophies and genetic leukoencephelopathies. Mol Genet Metab 114(4): 501-515.
- Richards J, Korgenski EK, Taft RJ, Vanderver A, Bonkowsky JL (2015) Targeted leukodystrophy diagnosis based on charges and yields for testing. Am J Med Genet A 167A(11): 2541-2543.
- Vanderver A, Simons C, Helman G, Crawford J, Wolf NI, et al. (2016). Whole exome sequencing in patients with white matter abnormalities. Ann Neurol 79: 1031-1037.
- Spiegel R, Shaag A, Shalev S, Elpeleg O (2016) Homozygous mutation in the APOA1BP is associated with a lethal infantile leukoencephalopathy. Neurogenetics 17(3): 187-190.
- Bener A, Alali KA (2006) Consanguineous marriage in a newly developed country: the Qatari population. J Biosoc Sci 38(2): 239-46.
- Al Gazali LI, Bener A, Abdulrazzaq YM, et al. (1997) Consanguineous marriages in the United Arab Emirates. J Biosoc Sci 29(4): 491-497.
- El Mouzan MI, Al Salloum AA, Al Herbies AS, Qurachi MM, Al Omar AA (2007) Regional variation in the prevalence of consanguinity in Saudi Arabia. Saudi Med J 28(12): 1881-1884.
- Shawky RM, Elsayed S, Zaki ME, Nour El-Din SM, Kamal FM (2013) Consanguinity and its relevance to clinical genetics. The Egyptian Journal of Medical Human Genetics 14(2): 157-164.
- Kremer LS, Danhauser K, Herebian D, Petkovic Ramadža D, Piekutowska Abramczuk D, et al. (2016) NAXE Mutations Disrupt the Cellular NAD(P)HX Repair System and Cause a Lethal Neurometabolic Disorder of Early Childhood. Am J Hum Genet 99(4): 894-902.

















