Maxillary Sinus Augmentation in the Presence of Retention Cyst: A New Clinical Approach
Francesco Briguglio*
Adjunct Professor, University of Messina, Italy
Submission:November 28, 2020;Published:December 15, 2020
*Corresponding author:Francesco Briguglio, Adjunct Professor, University of Messina, Italy Open Access
How to cite this article:Francesco B. Maxillary Sinus Augmentation in the Presence of Retention Cyst: A New Clinical Approach. Open Access J Surg. 2020; 12(3): 555839. DOI: 10.19080/OAJS.2020.12.555839.
Abstract
In case of acute atrophy of superior maxillary, the intra-sinus bone regeneration represents a necessary procedure in the execution of a rehabilitation prosthetic - implantation of lateral posterior sectors [1,2]. The presence of big cystic neoformation within maxillary sinus does not permit, except if it is preceded by a surgical review of sinus cavity, the realization of regeneration technique [3,4]. The presence of large cystic neoformations within the maxillary sinuses does not allow, if not preceded by a surgical revision of the sinus cavities, the implementation of the regenerative technique [5,6]. This article describes an innovative approach in the execution of the maxillary sinus lift technique in the presence of endo-sinus retention cysts, with simultaneous therapy of the neoformation mucosa and crestal atrophy.
Keywords: Intra-sinus bone; Surgical revision; Maxillary sinus; Crestal atrophy.
Materials and methods
A 52-year-old female non-smoker patient came to our observation for the resolution of an intercalated edentulous of the first quadrant. After a careful medical history compatible with implant surgery, a physical examination was performed aimed at evaluating a dental condition and in particular gnathological and occlusal conditions favorable to an implant-prosthetic therapeutic approach. However, the subsequent first level radiological examination showed an atrophy of the alveolar ridge vertically at the level of implant sites 1.5 and 1.7. A partial stenosis of the corresponding maxillary sinus was also found which necessitated a diagnostic investigation by means of a CT scan of the maxillary arch. The analysis of the cross sections allowed the measurement of the vertical bone volume, quantified in 4 mm at the 1.5 site level and 3 mm at the 1.7 site level.
A dome-shaped neoformation was also observed at the level of the right maxillary sinus, with a large implant base with homogeneous parenchymal-like density and a convex surface with regular and smooth margins. In the absence of obvious symptoms, potential odontogenic etiological factors and an aggravation of the lesion revealed by the analysis of a previous radiographic examination, a diagnosis of intra sinusal retention cyst was made.
Given the need to resort to a large maxillary sinus lift technique, we then proceeded to measure the volume to be increased for the insertion of standard-sized implants and the consequent cranial displacement that the pseudocyst would have undergone following the procedure. Having identified the risk of a potential obstruction of the ostium ad antrum with possible sinus superinfection, the need for a reduction in the neoformation was agreed so that the regenerative technique could be carried out. Although the operational steps described in the literature involved the intervention of an otolaryngology specialist for the revision of the sinus cavity and subsequently, following a membrane regeneration of at least six months, the implementation of the techniques to increase the intrasinusal bone crest [7], it was decided in agreement with the patient to perform a simultaneous surgical approach in order to reduce the duration of treatment and therapeutic morbidity. Therefore, after antibiotic prophylaxis with amoxicillin 875mg plus clavulanic acid 125mg (augmentin) two tablets taken in 12 before surgery, a first quadrant plexus anesthesia was performed using articaine with adrenaline 1: 80000 and a full-thickness mucoperiosteal flap was elevated. with crestal incision and two release incisions mesial to element 1.4 and distal to element 1.7.
Skeletonized the lateral wall of the maxillary sinus up to a height corresponding to the central portion of the cystic lesion, about 22 mm from the alveolar bone crest, it was made using a diamond ball drill with a diameter of 1.5 mm at a speed of 10,000 rpm. min a perforation of the cortex and subsequently a break in the underlying Schneider membrane; at this point the needle of a 5 ml disposable syringe was inserted through the bone and mucous gap through which the entire cystic liquid content was aspirated. We therefore continued, 2 mm caudally with respect to the bone perforation performed, with the design of the hatch for access to the sinus cavity according to the technique of large sinus lift described by Caldwell and Luc. The Schneider membrane was thus detached with instruments at an angle and incremental diameter, paying the utmost attention to coronal dislocation and closure by elastic contraction of the tissue of the access perforation to the cystic cavity. After membrane mobilization they were collected distally to the antrostomic window of the autologous bone chips which, mixed with heterologous bone chips (Bio-oss) in a ratio of about 1: 2, were positioned at the level of the sinus cavity and thickened by means of bone compactors. At the end of the procedure, no resorbable membrane was applied to close the access hatch. Finally, the primary flap was closed by first intention using single detached stitches with 4.0 silk.
Antibiotic therapy with Amoxicillin 875 mg ed. was prescribed. B.C. clavulanic 125mg two tablets a day for 5 days combined with anti-inflammatory and pain-relieving therapy for 48h and rinses with 2% chlorhexidine three times a day for two weeks (Figures 1-4).


Results
The biochemical analysis of the cystic fluid, taken in an amount of about 5 ml during the reduction of the lesion, he confirmed the radiological and clinical diagnostic suspicion, presenting almost all cholesterin crystals, serum and mucous residues [8]. The postoperative course had an optimal course, with limited morbidity and absence of nasal fluid loss. The sutures were removed 15 days after surgery. Six months after the first surgical phase, the absence of complications made it possible to proceed with the insertion of two implants with a diameter of 4mm by 10 mm in length in position 1.5 and a diameter of 4mm by 10 mm in length in position 1.7.


The implant insertion and the maintenance of the reduction of the lesion were evaluated on the panoramic examination following surgery.
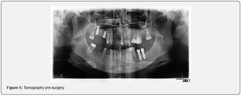
The intrasinus graft appeared sufficiently integrated so as to allow a valid primary stability of the implant fixtures with an insertion torque greater than 30 Nm in both sites. A careful radiographic analysis of the right sinus cavity was therefore carried out, which underlined a clear radiolucency of the slaughtered sinus as evidence of the absence of recurrence of the lesion allowing a clear identification of the lower limits of the cavity. From a clinical point of view, the patient did not report any symptoms of sinus stasis, therefore the absence of pain corresponding to the maxillary sinus in question, the absence of nasal mucus and correct functionality of the corresponding ostium ad antrum. The persistence of an otolaryngological state of health meant that we proceeded four months later with the third surgical phase consisting in the uncovering of the implant fixtures and subsequently with the realization of the prosthetic products first provisional and after about 30 final days (Figure 5).

Discussion
A success factor in modern implant therapies is certainly the operative speed combined with the reduction of morbidity. From the introduction of modern bioactive surfaces to flapless techniques up to immediate implant-prosthetic rehabilitations, the scientific community has directed much of the research to resolve the discomfort caused by the absence of a dental element in the shortest possible time and with minimal invasiveness and encouraging the patient to solve this type of problem. Cases of bone atrophy are still conditions that require procedures with prolonged healing times, especially when the technique involves implant placement at a different time than the regenerative technique [9].
If, in addition to the regenerative procedure, in the case of a large maxillary sinus lift, surgical otolaryngological therapies are to be performed that prepare the patient to accept the insertion of an intrasinus graft [10], the implant-prosthetic rehabilitation could be lengthened temporally up to an overall period about 18 months [11].
We therefore wanted to thoroughly analyze the therapeutic approach in the case of maxillary sinus pseudocysts during therapy with large sinus lift. The indications for sinus lift in patients with retention cysts are not clearly defined in the literature. Although some authors have stated that the presence of an antral cyst could be a contraindication for the predictability of the “sinus lift” procedure, the results obtained from other studies [12,13], including that of Ofer Madinger et al., Argue instead, that the the presence of a cystic lesion in the maxillary sinus does not affect the possibility of carrying out the procedure.
From a clinical point of view, intrasinus cysts have an absolutely benign course, characterized by phases of ectasia and reduction of the lesion volume, up to sometimes the complete disappearance of the lesion itself. Sometimes the spontaneous opening of the cystic wall and the drainage of its contents from the nose determine both clinical and radiographic regression. Therefore, periodic monitoring of lesions is preferred, unless the patient complains of symptoms of a certain severity. In the case described, the dimensions of the lesion make it necessary to treat the neoformation which may consist in the removal or drainage of the lesion, in fact, as stated by Ziccardi and Betts, since a sinus cyst reduces the size of the sinus antrum, performing a floor elevation could further reduce the breast size resulting in obstruction of the ostium and accumulation of fluid, creating the conditions for a potential iatrogenic sinusitis [14]. Consequently, maintaining the patency of the ostium ad antrum is essential to ensure that the sinus can drain the physiological mucous reservoirs of the mucociliary system and thus maintain its physiological function as an air filter [15].
Conclusion
An intrasinus retention cyst is not an absolute contraindication for the creation of a large sinus lift. The low frequency of sinus membrane perforation and post surgical sinusitis makes the treatment safe. However, in patients with large lesions and where the diagnosis is unclear, further and thorough evaluation should be done prior to any intervention, with careful evaluation of the potential obstruction of the ostium ad antrum due to displacement of the mass in the cranial sense [16]. If necessary, the contextual treatment of the cystic lesion and the carefully planned regenerative therapy is an achievable therapy. The planned operation allows to reduce the implementation times of the implant-prosthetic rehabilitation and also allows the operator to interface in the sinus lift phase with an intact membrane and not in the post-ENT surgery regeneration phase.
References
- Jensen OT, Shulman LB, Block Ms, Lacono VJ (1998) Report of thesinus consensus conference. Int J Oral Maxillafac Implants13(Suppl):11-45.
- Aghaloo TL, Moy PK. (2007) Which hard tissue augmentation techniques are the most successful in furnishing bony support for implant placement?Int J Oral Maxillofac Implants22 Suppl:49-70.
- Ziccardi VB, Betts NJ (1999) Complications of maxillary sinus augmentation.In: Jensen OT, editor. The sinus bone graft. Quintessence Publishing Co, Carol Stream, Illinois, United States pp.201-208.
- Tang ZH1, Wu MJ, Xu WH (2011) Implants placed simultaneously with maxillary sinus floor augmentations in the presence of antral pseudocysts: a case report.Int J Oral Maxillofac Surg40(9):998-1001.
- Ziccardi VB, Betts NJ (1999) Complications of maxillary sinus augmentation.In: Jensen OT, editor. The sinus bone graft. Quintessence Publishing Co, Carol Stream, Illinois, United States p.201-208.
- Tang ZH1, Wu MJ, Xu WH (2011) Implants placed simultaneously with maxillary sinus floor augmentations in the presence of antral pseudocysts: a case report.Int J Oral Maxillofac 40(9):998-1001.
- Lin Y, Hu X, Metzmacher AR, Luo H, Heberer S, et al. (2010)J Maxillary sinus augmentation following removal of a maxillary sinus pseudocyst after a shortened healing period. Oral Maxillofac Surg68(11):2856-2860.
- Gardner DG (1984) Pseudocysts and retention cysts of the maxillary sinus.Oral Surg Oral Med Oral Pathol58(5):561-567.
- Wallace SS, Froum SJ (2003)Effect of maxillary sinus augmentation on the survival of endosseous dental implants. A systematic review. Ann Periodontol 2003 Dec8(1):328-343.
- Hadar T, Shvero J, Nageris BI, Yaniv E (2000)Mucus retention cyst of the maxillary sinus: the endoscopic approach. Br J Oral Maxillofac Surg38(3):227-229.
- Kara MI, Kirmali O, Ay S (2012) Clinical evaluation of lateral and osteotome techniques for sinus floor elevation in the presence of an antral pseudocyst.Int J Oral Maxillofac Implants27(5):1205-1210.
- Kara IM1, Küçük D, Polat S (2010) Experience of maxillary sinus floor augmentation in the presence of antral pseudocysts.J Oral Maxillofac Surg68(7):1646-1650.
- Mardinger O1, Manor I, Mijiritsky E, Hirshberg A (2007) Maxillary sinus augmentation in the presence of antral pseudocyst: a clinical approach. Oral Surg Oral Med Oral Pathol Oral Radiol Endod 103(2):180-4. Epub 2006 Sep 1.
- Beaumont C, Zafiropoulos GG, Rohmann K, Tatakis DN(2005) Prevalence of maxillary sinus disease and abnormalities in patients scheduled for sinus lift procedures.J Periodontol76(3):461-467.
- Timmenga NM, Raghoebar GM, Liem RS, van Weissenbruch R, Manson WL, et al. (2003) Effects of maxillary sinus floor elevation surgery on maxillary sinus physiology.Eur J Oral Sci. 111(3):189-197.
- Bhattacharyya N (2000) Do maxillary sinus retention cysts reflect obstructive sinus phenomena?Arch Otolaryngol. Head Neck Surg126(11):1369-1371.

















