Case Report: Uncommon cause of “Crazy-Paving” on X-ray Chest
Sushila Ladumor1* and Adham Darweesh2
1Consultant Radiologist, Clinical Imaging Department, Hamad Medical Corporation, HGH, Doha, Qatar, Assistant Professor in Clinical Radiology, Weil Cornel Medical College, Qatar (WCMC-Q)
2Senior Consultant Radiologist, Clinical Imaging Department, Hamad Medical Corporation, HGH,Doha, Qatar, Assistant Professor in Clinical Radiology, Weil Cornel Medical College, Qatar (WCMC-Q)
Submission: September 23, 2017; Published: October 02, 2017
*Corresponding author: Sushila Ladumor B, Consultant Radiologist, Clinical Imaging Department, Hamad Medical Corporation, HGH, Doha, Qatar, Assistant Professor in Clinical Radiology, Weil Cornel Medical College, Doha, Qatar (WCMC-Q), ; Email: drsbladumor@yahoo.com
How to cite this article: Sushila L, Adham D. Case Report: Uncommon cause of "Crazy-Paving" on X-ray Chest. Open Access J Surg. 2017; 6(2): 555683. DOI: 10.19080/OAJS.2017.06.555683
Abstract
The "crazy-paving” pattern at thin-section computed tomography (CT) of the lungs is characterized by scattered or diffuse ground-glass attenuation with superimposed interlobular septal thickening and intralobular lines. Initially described in cases of alveolar proteinosis, this pattern has subsequently been reported in a number of conditions like infectious, neoplastic, idiopathic, inhalational, and many other disorders of the lung [1], so now considered to be nonspecific. The present report describes a case of a 42-year-old gentle man with known case of Diabetes mellitus, Coronary Artery disease, Hypertension, history of smoking and Congestive Heart Failure presented with a crazy-paving appearance of the lungs on a chest X-ray and Chest computed tomography scan. This unusual association highlights the importance of the correlation of clinical history and radiographic information.
Keywords: Computed tomography; Congestive heart failure; Crazy-paving appearance; Pulmonary alveolar proteinosis; Pneumocystis carini Pneumonia; Nonspecific interstitial pneumonia and fibrosis; Adult respiratory distress syndrome (ARDS).
Clinical History
First Presentation in Institute

42 year gentlemen admitted with severe shortness of breath dyspnea and cough. Patient admitted due to his known case of Diabetes mellitus, Coronary Artery disease, Hypertension and Congestive Heart Failure (Figure 1).
Echocardiography
Patient had Echocardiography with Conclusion:
Technically difficult study
a) Mildly dilated left ventricle.
b) Moderately reduced systolic Left Ventricular function (EF 39 %).
c) Moderate global Hypokinesis of Left Ventricular
d) Moderate mitral valve regurgitation is present.
Patient again came back again and admitted with severe shortness of breath dyspnea and cough with high inflammatory markers, given 80 mg IV Lasix stat & IV antibiotics, nebulized salbutamol and ipratropium nebs, Dyspnea improved and patient discharged on fourth day with regular medication andantibiotics. Patient has a 30 year 1-2 pack per day smoking history but he didn't smoke for the last 20 days but exposed to cigarettes smoke with his friends for last 3 days before his condition worsened.
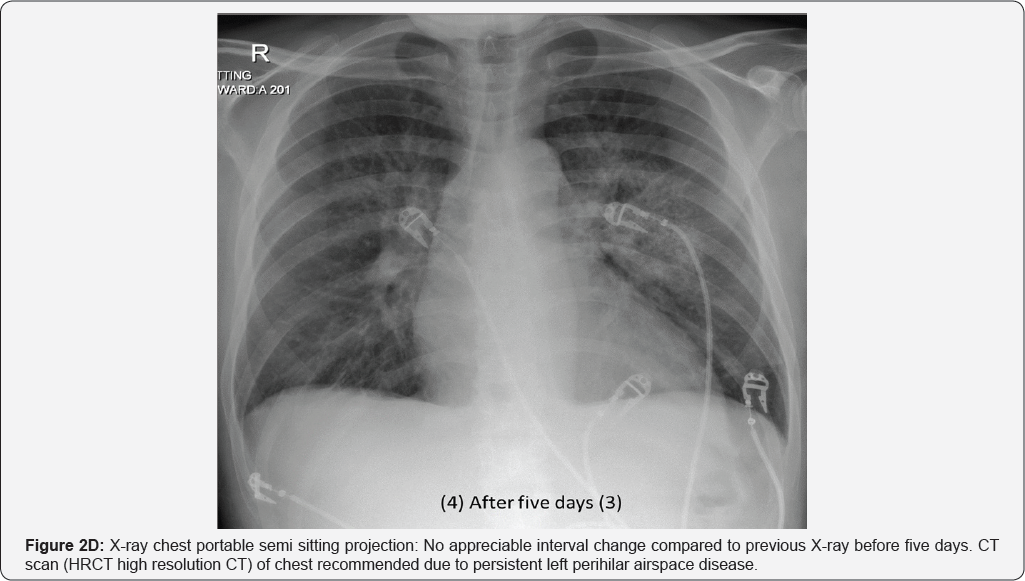
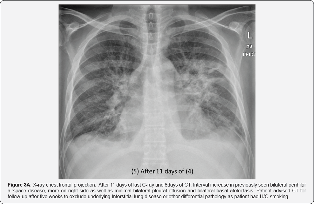
X-Rays and CT during his Hospital stay: (Figure 2A-2E)

Pleural effusion (RT>LT) multiple small mediastinal lymph nodes (arrow in image a & b), likely reactive. Bilateral perihilar airspace diffuse air space opacity and ground-glass attenuation with superimposed interlobular septal thickening and intralobular lines (LT> RT). Common differential of Crazy paving given as well as diagnosis of pulmonary edema (uncommon cause of crazy paving) given in view of history of CHF and improvement by treatment. Superimposed infection is likely in view of high inflammatory markers (Figures 3A & 3B).
Discussionn
A 'crazy-paving' appearance of the lungs on a highresolution computed tomography (CT) scan of the chest, defined as scattered or diffuse ground-glass attenuation superimposed on a network of interlobular septal thickening and intralobular lines, was first described in association with pulmonary alveolar proteinosis nearly 20 years ago [2,3]. Initially, this radiographic pattern was thought to be specific for alveolar proteinosis, but has subsequently been reported in a variety of interstitial and airspace pulmonary disorders [3]. In the present report, investigations and his clinical course demonstrated the cause we describe a man who presented with progressive exertional for the abnormal radiographic changes to be pulmonary edema dyspnea in association with a high-resolution chest CT scan that secondary to congestive heart failure [4]. demonstrated a typical crazy-paving appearance. Subsequent investigations and his clinical course demonstrated the cause for the abnormal radiographic changes to be pulmonary edema secondary to congestive heart failure [4].






The association of cardiogenic pulmonary edema, a common condition, with a crazy-paving appearance on a CT scan of the lungs has been reported previously in only in few cases, but it is important for clinicians and radiologists to recognize. Based on available study and related other information in the reviews, it is possible to classify the main pulmonary insults that result in a crazy-paving appearance on an etiological basis into infectious, neoplastic, inhalational, toxic, sanguineous and idiopathic disorders. Specific infectious disorders that are associated with a crazy-paving pattern include Pneumocystis jiroveci (carinii) pneumonia, Mycobacterium tuberculosis and Mycoplasma pneumoniae [5].
Common causes of Crazy-Paving
a) Acute respiratory distress syndrome (ARDS)
b) Bacterial pneumonia
c) Acute interstitial pneumonia: essentially ARDS of unknown etiology
d) Pulmonary alveolar proteinosis (PAP): rare, but the great majority of patients with PAP demonstrate crazy paving
Less common causes of Crazy-Paving
i. Drug-induced pneumonitis
ii. Radiation pneumonitis
iii. Pulmonaryhemorrhage / diffuse pulmonary hemorrhage
iv. Good pasture syndrome
v. Chronic eosinophilic pneumonia
vi. Usual interstitial pneumonia (UIP) with superimposed diffuse alveolar damage
vii. Pulmonaryedema
viii. Pulmonary infections
ix. Mycoplasma pneumonia
x. Obstructive pneumonia
xi. Tuberculosis
xii. Pneumocystis carinii pneumonia
xiii. Cryptogenic organizing pneumonia (COP, formerly BOOP)
xiv. Mucinous bronchioloalveolar carcinoma
xv. Sarcoidosis, especially alveolar sarcoidosis
xvi. Lipoid pneumonia
xvii. Pulmonary veno-occlusive disease More input about Crazy-Paving
More input about Crazy-Paving
A. Crazy-Paving was originally described in patients with Pulmonary alveolar proteinosis and is very characteristic for this disease
B. But Crazy-Paving is really a very nonspecific finding and can been seen in a variety of diffuse lung diseases
Conclusion
The crazy-paving appearance is a nonspecific finding seen in a variety of interstitial and airspace lung diseases. The crazy- paving pattern, characterized by scattered or diffuse ground- glass opacities or attenuation with superimposed interlobular septal thickening and intralobular lines, is a common radiologic manifestation. Often considered to have a limited differential diagnosis-pulmonary alveolar proteinosis, lipoid pneumonia, bronchioloalveolar cell malignancy- this pattern is now recognized as a CT manifestation of many diverse entities. Knowledge of the many causes of this pattern can be useful in preventing diagnostic errors.
In addition, although causes of this pattern are frequently indistinguishable at radiologic evaluation, differences in the location of the characteristic opacities or attenuation in the lungs as well as presence of additional radiologic findings, together with the history and clinical presentation, can often be useful in suggesting the appropriate diagnosis. The present case illustrates the importance of the correlation of radiographic appearance with clinical observations. It also emphasizes that a crazy-paving pattern on CT scan, once considered to be specific for pulmonary alveolar proteinosis, is now known to be nonspecific and may be seen in association with a wide spectrum of pulmonary diseases.
References
- Rossi SE, Erasmus JJ, Volpacchio M (2003) "Crazy-paving” pattern at thin-section CT of the lungs: radiologic-pathologic overview. Radiographics 23 (6): 1509-1519.
- Lee CH (2007) The crazy-paving sign. Radiology 243(3)..
- Walter De Wever, Joke Meersschaert, Johan Coolen, Eric Verbeken, Johny A Verschakelen (2015) The crazy-paving pattern: a radiological- pathological correlation.
- Johkoh T, Itoh H, Muller NL (2014) Crazy-paving appearance at thin- section CT: Spectrum of disease and pathologic findings. Radiology
- Nimrod Maimon, Narinder Paul, Gregory P Downey (2015) Progressive dyspnea associated with a crazy-paving appearance on a chest computed tomography scan.

















