Adult T-Cell Leukemia/Lymphoma with Extraocular Muscle Infiltration a Case Report
SugimotoTakako, Chuman Hideki* and Nao-I Nobuhisa
Department of Ophthalmology, University of Miyazaki, Japan
Submission: August 23, 2017; Published: September 27, 2017
*Corresponding author: Chuman Hideki, Department of Ophthalmology, University of Miyazaki, Faculty of Medicine, Kihara5200, Kiyotake, Miyazaki 889-1692, Japan, Tel: +81-985-85-2806; Fax: +81-985-84 0000; Email: hchuman@med.miyazaki-u.ac.jp
How to cite this article: SugimotoT, Chuman H, N Nobuhisa. Adult T-Cell Leukemia/Lymphoma with Extraocular Muscle Infiltration a Case Report. JOJ Ophthal. 2017; 5(2): 555657. DOI: 10.19080/JOJO.2017.05.555657.
Abstract
Adult T-cell leukemia/lymphoma (ATLL) is a T-cell lymphoma that initially appears following several decades of dormancy after human T-cell lymphoma virus type 1 (HTLV-1) infection. ATLL invade the eyelids, conjunctiva, retina, and orbit. However infiltration of ATLL into the extraocular muscles have not been reported yet. Herein, we report on a case of ATLL with confirmed infiltration into the extraocular muscles, and a biopsy of extraocular muscles proved useful in the definitive diagnosis. A 60-year- old man presented with complaint of diplopia. Examination showed visual acuities of 20/20 OU. There was no afferent pupillary defect (RAPD). The right eye exhibited restricted abduction and depression as well as exophthalmos. One month later, the patient had pain in the right eye and worsening of the exophthalmos. RAPD was positive in the right eye and optic disc swelling confirmed. Orbital magnetic resonance imaging (MRI) shows swelling of extraocular muscles and compression of the optic nerve at the orbital apex. Low intensity signals recorded on Tl-weighted images of the muscles and high intensity signals on T2- weighted images of the muscles with uniform intensity. High intensity signals occurred on diffusion-weighted images, and the apparent diffusion coefficient was markedly low at 0.5, suggestive of malignant lymphoma. The inferior rectus muscle was biopsied and disclosed lymphoid cells with irregularly shaped nuclei in the soft tissue. Immuno histo chemically, these findings are consistent with ATLL.
Keywords: Adult T-cell leukemia/lymphoma(ATLL); Human T-cell leukemia virus-1; Extraocular muscle; Muscle biopsy; Diffusion-weited imaging(DWI); Case report
Introduction
Adult T-cell leukemia/lymphoma (ATLL) is a T-cell lymphoma that initially appears following several decades of dormancy after human T-cell lymphotropic virus type 1 (HTLV-1) infection. HTLV-1 infection is more prevalent in specific regions of the world in which there are high concentrations of HTLV-1 carriers, including Japan, Oceania, equatorial Africa, the Middle and Near East, the Caribbean, coastal countries in South America, and the South American Andes [1,2].
There are 100 million carriers (those who test positive for the antibody) in Japan and 2000 million carriers in the world. HTLV-1is mainly infected with T lymphocytes, continue to possess a life virus once the infection is established. However, it is asymptomatic 95% or more [3]. In 1980, Poietz et al. [4] isolated a retrovirus, HTLV-1, in two patients with the clinical characteristics of ATLL. This is the first retrovirus proven to cause malignancy in humans and is now recognized as the etiologic agent of ATLL [4,5]. ATLL is a rare disease and ATLL invasion occurs infrequently in the field of ophthalmology, it is difficult to diagnose in the early stages. ATLL invade directly the eyelids, conjunctiva, retina, and orbit [6]. To our knowledge, infiltration of ATLL into the extraocular muscles has not reported yet. Orbital occupying-lesion was difficult to distinguish thyroid eye disease, orbital myositis, idiopathic orbital inflammation and malignancy diseases diagnosing with magnetic resonance imaging (MRI). Herein, we report on a case of ATLL with confirmed infiltration into the extraocular muscles and a biopsy of extraocular muscles was useful to prove in the definitive diagnosis.
Case
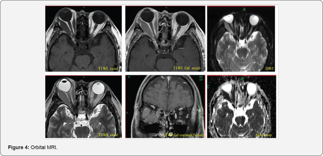
A 60-year-old man was examined because of blurred vision in the right eye. The right eye exhibited an ocular motility disorder in all directions. Three days later, he was referred to our department. His medical history included acute ATLL diagnosed 2 years earlier, with complete remission after chemotherapy. He also had a thyroid adenoma, which was diagnosed by biopsy. The findings at initial examination were as follows, corrected visual acuities20/20 OU, pupil diameters, 5 and 6mm in the dark and 3 and 3mm in room light, for the right and left eyes, respectively. The pupillary light reflex was rapid and complete, and the relative afferent pupillary defect (RAPD) was negative. Before the use of 1% apraclonidine eye drops, the pupil diameters of the right and left eyes were7 and 6mm, respectively. The right eye exhibited restricted abduction and depression as well as exophthalmos (Figure 1). Hertel exophthalmometer was 24mm OD, 19mm OS. The force deduction test was positive. No abnormalities were in the anterior ocular segment, optic media, or ocular fundus. His plane MRI showed swelling of the lateral rectus and inferior rectus muscles of the right eye (Figure 2). Orbital diseases in the right eye, such as thyroid eye disease, orbital myositis, and Horner syndrome were thought to be affecting the thyroid adenoma biopsy. One month later, the symptoms worsened. His corrected visual acuities 20/60 OD, 20/20 OS and right-eye RAPD was detected. In addition, chemosis, increased intraocular pressure, and optic disc swelling were observed (Figure 3). Thus, the patient was emergently admitted to our hospital. Enhanced orbital MRI showed the right medial rectus, lateral rectus, and inferior rectus muscles were more swelling. These muscles compressed the optic nerve at the orbital apex. The muscles were hypo intense on T1-weighted images and hyper intense on T2-weighted images, and showed a uniform enhancement effect. Diffusion-weighted images (DWI) showed hyper intense signals, and the apparent diffusion coefficient value was markedly low at 0.5. (Figure 4), suggestive of malignant lymphoma. We did biopsy of the inferior rectus muscle (Figure 5). Histpathologically, there was diffuse proliferation of lymphocytes containing small to large nuclei. Immunostaining tested positive for CD3 and CD4, and negative for CD8 and CD79a (Figure 6). Consequently, he diagnosed with ATLL cellular infiltration and recurrence of ATLL.




MRI shows swelling of the right medial rectus, lateral rectus, inferior rectus muscles, and compression of the optic nerve at the orbital apex. Low intensity signals were recorded on T1-weighted images of the muscles and high intensity signals on T2-weighted images of the muscles with uniform intensity.
High intensity signals occurred on diffusion-weighted images, and the apparent diffusion coefficient was markedly low at 0.5, suggestive of malignant lymphoma.


There was diffuse proliferation of lymphocytes containing small to large nuclei. Immunostaining tested positive for CD3 and CD4, and negative for CD8 and CD79a
Discussion
The course of this patient suggests that ATLL cells could infiltrate extraocular muscles and a biopsy of extraocular muscles was useful in the definitive diagnosis. ATLL cells could infiltrate extraocular muscles. ATLL invade the eyelids, conjunctiva, retina, and orbit. The reports of Intra orbital invasion are 3cases. Lauer SA et al reported first case of tumor mass in left orbit displacing medial rectus muscle and extending through medial orbital wall in the ethmoid sinus [1]. Mori A et al. [7] reported of multiple ocular tumors those lesions contiguous with the uvea, eye sockets, nasal cavities, and epipharynx [7].Yoshikawa T et al. [8] reported multiple tumorous lesions in both orbits [8]. Those of 3 cases invaded directly in orbital but the present case infiltrated only extraocular muscle. Since ATLL is a rare disease and ATLL cell invasion or infiltration occurs very infrequently in the field of ophthalmology, it is difficult to diagnose in the early stages of the disease.
Sepahdari AR et al. [9] reported that Enhance MRI, DWI and ADC ratio can help discriminate between radiologically indeterminate benign and malignant orbital masses. Especially, Lymphoma was differentiated from pseudo tumor with 100% accuracy (in 16 of 16 cases) by ADC ratio less than 1.2. It was reasonable to support their report in present case's ADC ratio was 0.5 and our case wasn't pseudo tumor, They although reported infiltrative lesions that were hypo intense on T2- weighted images were better characterized with DWI imaging than lesions were hyper intense. In our case, T2-weighted images was hyper intense. Thus MRI imaging couldn’t make a definite diagnosis ATLL. Thus it is important to do muscle biopsy.
Conclusion
When there was orbital occupying-lesiononly extraocular muscle swelling, MRI examination include enhanced MRI and DWI and ADC ratio should be conducted immediately. Then if malignancy tumor was suspected, it was highly important to make a definitive diagnosis based on biopsy.
References
- Lauer SA, Fischer J, Jones J (1988) Orbital T-cell lymphoma in human T-cell leukemia virus-1 infection. Ophthalmology 95:110-115.
- Takajyo I, Okayama A (2011) Etiology of HTLV-1 infection. Kikai shiyaku 34(4): 447-452.
- Unoike N (2013) Treatment of adult T-cell leukemia/lymphoma. Rinshotokennkyu 90(11): 1499-1503.
- Poiesz BJ, Ruscetti FW, GazdarAF, Bunn PA, Minna JD, et al. (1980) Detection and isolation of type C retrivirus particles from fresh and cultured lymphocytes of a patient with cultaneous T-cell lymphoma. Proc Nati Acad Sci USA 77(12):7415-7419.
- Hinura Y, Nagata K, et al. (1981) Adult T-cell Leulemia: Antigen in an ATL cell line and detection of sntibodies to the antigen in human sera. Proc Natl Acad Sci U S A 78(10): 6476-6480.
- Liu MM, Furusato E, Cao X, Shen D, Chan CC (2010) Ocular manifestations and pathology of adult T-cell leukemia/lymphoma associated with human T-lymphotropic virus type 1. Rare Tumors 2(4): e63.
- Mori A, Deguchi HE, Mishima K, Kitaoka T, Amemiya T (2003) A case of uveal, palpebral, and orbital invasions in adult T-Cell leukemia. Jpn J Ophthalmol 47(6): 599-602.
- Yoshikawa T, Ogata N, Takahashi K, Mori S, Uemura Y, et al. (2005) Bilateral orbital tumor as initial presenting sign in human T-cell leukemia virus-1 associated adult T-cell leukemia/lymphoma. Am J Ophthalmol 140(2): 327-329.
- Sepahdari AR, Aakalu VK, Setabutr P, Shiehmorteza M, Naheedy JH, et al. (2010) Indeterminate orbital masses: restricted diffusion at MR imaging with echo-planar diffusion-weighted imaging predicts malignancy. Radiology 256(2): 554-564.

















