Giant Ruptured Abdominal Aortic Aneurysm Surgery m in Octogenarian Patient: Is it Always EVAR Possible?
Chaud Germán J, Filippa Pablo A, Wainscheinker Ezequiel, Martínez Colombres M Alejandro and Paladini Guillermo*
Hospital Privado, Universitario de Cordoba, Argentina
Submission: June 23, 2016; Published: July 20, 2017
*Corresponding author: Paladini Guillermo, Hospital Privado, Universitario de Cordoba, Naciones Unidas 346, (5016) Cordoba, Argentina,Tel: +54 351 4688236; Fax: +54 351 4688228; Email gpaladini@hotmail.com
How to cite this article: Chaud G J, Filippa P A, Wainscheinker E, Martinez Colombres, Paladini G. Giant Ruptured Abdominal Aortic Aneurysm Surgery in Octogenarian Patient: Is it Always EVAR Possible?. J Cardiol & Cardiovasc Ther 2017; 6(4): 555691. DOI: 10.19080/JOCCT.2017.06.555691
Keywords
Keywords: Abdominal aortic aneurysm; Octagenarian; Surgery; EVAR
Case Study



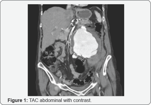
80-year-old female patient with 12cm infra-renal abdominal aortic aneurysm (Figure 1 & 2) complicated with lumbar pain and anemia was admitted (Hb: 7.7mg/dl). In addition, there was kidney function deterioration (creatinine: 1.51mg/dl) due to compression of the left ureter and pyelo-calyx dilatation (Figure 3).
The patient had a history of significant bilateral carotid disease and severe pulmonary obstructive disease. Due to the complexity of the case and the lack of availability of endoprosthesis, surgical procedure was performed (Figure 4) by performing an aorto-biiliac bypass with a Dacron 18x9mm, prosthesis (Figure 5). The patient had a good postoperative course; however, she had an AF postoperative complication, so she was able to be discharged at 9 days after the procedure. Currently she achieves a regular lifestyle.


Conclusion
In the absence of current state of knowledge about biological or pharmacological in order to control the destructive process of the arterial wall, we can only attend to mechanical solutions such as conventional resection and «radical» surgery, or "palliative" endovascular intervention. One of the key questions nowadays is to know how capable the endovascular intervention to replace the conventional surgery. Early mortality, at 30 days, has been extensively evaluated in recent cooperative and randomized studies, showing lower values in endovascular intervention than in open surgery. However, I would like to highlight the ACE study, signed by Jean Pierre Becquemin and published in 2011, which contradicts the previous ones: higher mortality in EVAR than in open surgery.
Postoperative control also assumes different aspects. Because of the frequency and multiplicity of complications, EVAR monitoring should be performed with the support of imaging technologies (CT, MRI or other), with a semiannual periodicity, while the follow-up of open surgery with clinical examination is enough, leaving the use of imaging technologies only in exceptional cases [1].
Broken abdominal aortic aneurysm is a frequently fatal disease and causes at least 45 deaths per 100,000 population. Surgical treatment is associated with a high mortality rate, and evidence suggest that an improvement in outcome over time is inconsistent, given a large inter hospital and inter-country variation [2]. In our case, the patient rejected both, endovascular and surgical treatment, 5 years ago (6cm aneurysm) and in this occasion was admitted with an accident of it (12cm and kidney failure secondary to dilation of the left ureter by compression of the aneurysm) and intense abdominal pain. Because of this accident and the impossibility of acquiring an endoprosthesis, surgical treatment was decided upon which the patient consented.
We conclude that not only because the endovascular treatment costs about 6 times more than the open surgery, and does not reduce neither the duration nor the costs of the treatment, but also because it is inaccessible for some countries, conventional surgery should not be excluded like a treatment option, even in octogenarian patients.
Ethical Responsibilities
a) Protection of people and animals: The authors state that no human or animal experiments have been performed for this research.
b) Confidentiality of the data: The authors state that they have followed the protocols of their work center on the publication of patient data.
c) Right to privacy and informed consent: The authors state that no patient data appears in this article.
References
- da Gama AD (2014) Veinte anos de tratamiento endovascular del aneurisma de aorta abdominal. iEstamos dispuestos a abandonar la cirugfa convencional? Angiologia 66(6): 283-285.
- Ortf PB, Hernandez MM, Mairal OM, Urrea EB, Hernando LL, et al. (2014) Comparacion de modelos de riesgo para reparacion endovascular y abierta por rotura de aneurisma aortico abdominal. Angiologia 66(6): 305-315.

















