Follicular, Infundibular, Hamartoma-Pilar Sheath Acanthoma
Anubha Bajaj*
Department of Diagnostics, Punjab University, India
Submission: June 28, 2019; Published: July 16, 2019
*Corresponding author:Anubha Bajaj, Department of Pathology, Punjab University, Chandigarh, India
How to cite this article:Anubha Bajaj. Follicular, Infundibular, Hamartoma-Pilar Sheath Acanthoma. Int J cell Sci & mol biol. 2019; 6(1): 555679. DOI: 10.19080/IJCSMB.2019.06.555679
Preface
Pilar sheath acanthoma was initially scripted by Mehregan and Brownstein in 1978. The neoplasm is an exceptional, solitary benign follicular hamartoma with a centric perforation. Pilar sheath acanthoma is categorized as a spectrum of lesions constituted by lobules of hair follicular epithelium with an infundbular pattern maturation. In addition to infundibular differentiation, isthmus of the hair follicles and infrequently sebaceous ducts, apocrine glands, bulb and inner root sheath region are incriminated in tumour evolution. Pilar sheath acanthoma can be additionally termed as “lobular infundibuloisthmicoma”. It has been cogitated that pilar sheath acanthoma is a minimally differentiated lesion, in contrast to the dilated pore of Winer. However, it appears to be a mature neoplasm when compared with tumours of the follicular infundibulum [1,2].
Disease Characteristics
Lesions are frequently elucidated on the upper lip, although the head and neck, nasolabial folds, cheeks, eyebrows, lower lip, forehead, earlobe and post auricular area can also be implicated. Pilar sheath acanthoma is generally devoid of associated systemic manifestation and the disorder is restricted to a cutaneous pathology. Multiple lesions of pilar sheath acanthoma can also gradually evolve in the scrotal or anal regions. Lesions vary from 1 millimetre to 1 centimetre in diameter [2,3].
Clinical Elucidation
The neoplasm usually demonstrates an asymptomatic, solitary, hyper- pigmented, erythematous, comedo-like flesh coloured papule or nodule with a centric aperture and keratinous impaction. Alternatively, a painful, palpable nodule with a centroidal discontinuity and effluvium is cogitated. Preceding surgical intervention for varicose veins or associated conditions can engender the tumour, which demonstrates radiating pain. Nodule on the ear lobe can display necrotic seepage. Frequently, genesis of the neoplasm can be devoid of localized trauma or preceding therapeutic intervention. Skin coloured nodules depict a minuscule, centroidal aperture and a magnitude of 5 millimetres to 10 millimetres. Lesions generally arise on the face, upper lip or ear lobes. Elderly or middle-aged subjects and males are commonly implicated [3,4].
Histological Elucidation
Surgical specimens are usually obtained with a punch biopsy. Shave biopsy or tissue obtained with a comprehensive surgical excision can be utilized to ascertain the diagnosis. Sections stained with haematoxylin and eosin reveal a bulbous aggregate of epithelial cells derived from the isthmus of hair follicles and comprise of sebaceous ducts arising from a distended infundibulum which projects into the dermis. Scanning magnification reveals a branching cystic cavity with centroidal keratin influx. A lobular, patulous tumefaction is discerned which is contiguous to erosive or ulcerative superficial epithelium. Tumour cell aggregates situated in the dermis comprise of an admixture of corneocytes of the infundibulum and isthmus. Morphology of pilar sheath acanthoma is characterized by a centric, distended, cystic follicular structure with a superficial aperture incorporating keratinous debris. Sprouts of squamous epithelium can emanate from the centroidal opening. Epithelial layer of the central sinus is contiguous with superficial epidermis. Central cystic invaginations emerge from the superficial epidermis and expand according to the axis of a preceding hair follicle. Keratinisation of the infundibular variety can ensue within the epithelium [4,5].
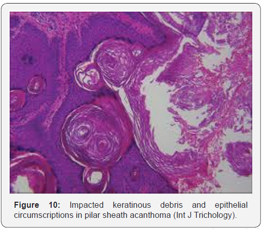
Centric cavity is usually devoid of hair shafts. Numerous miniature cysts are impacted within the acanthotic wall of the neoplasm. Pilar sheath acanthoma describes an amalgamation of several distinctive, tumour lobules which circumscribe and are adherent to the wall of centric cystic cavity with deep projections into the encompassing dermis. Cyst wall is comprised of stratified squamous epithelium with a detectable stratum granulosum. Compact cyst wall of pilar sheath acanthoma exhibits accumulation of extensive lobules. Tumour lobules depict epidermal keratinisation with accompanying keratohayline granules. Tumour lobules are constituted of outer root sheath epithelium. Lobules can disseminate into the adjacent dermis and subcutaneous tissue. Circumferential distribution of compact, keratinous material is cogitated. Tumour cells are round to polyhedral and display a peripheral palisade. Individual tumour cells can incorporate abundant quantities of intracellular glycogen. Tumour is devoid of mitosis and cellular or nuclear pleomorphism [4,5]. A distended hair follicle layered with centric, acanthotic epithelium, a lobular congregation of keratinocytes circumscribing the hair follicle and radial projections into the surrounding dermis is cogitated. Abortive hair follicles or arrangements akin to hair follicles can arise with a minimal differentiation. Fibro-vascular stroma encompassing the tumour lobules is disorganized or indistinct. Circumscribing connective tissue and sebaceous glandular proliferation can modify the morphology of pilar sheath acanthoma. Discernment of terminal or vellus hair necessitates the examination of multiple histological sections [5,6] [Figure 1- 11].











Differential Diagnosis
For accurate differentiation, it is crucial to identify the specific site of the tumefaction. Clinical distinction is necessitated from superficial soft tissue masses as cogitated in mesenchymal tumours, skin appendage tumours such as epidermoid cyst, pilomatrixoma, cystadenoma, cylindroma and syringoma with a dermal or epidermal origination and adjunct tumour like lesions. Additionally, segregation is required from conditions such as epidermal inclusion cyst, a patent comedo, dilated pore of Winer and trichofolliculoma. Pathological differentiation is a pre –requisite from trichofolliculoma and dilated pore of Winer on account of identical histology [6,7]. Dilated pore of Winer describes a patulous follicle with enlarged cystic spaces coated with acanthotic squamous epithelium and a configuration of diverging thin filaments or finger like epithelial extensions infiltrating the encompassing connective tissue. Aforesaid epithelial projections can disseminate into the surrounding dermis. In contrast, pilar sheath acanthoma depicts thicker epithelial strands and an extensive lobular architecture. Cyst wall of dilated pore of Winer can demonstrate minimal thickening, an occasional papillomatous pattern with enhanced deposition of melanin. An enlarged follicle with a distended, centric cavity and impacted, cornified substance can be discerned. Impacted, mature hair is seen within dilated pore of Winer. Trichofolliculoma depicts the presence of several, miniature secondary hair follicles emerging from the wall of primary follicles, centric infundibular cystic articulation and the outer or inner root sheath. Distended follicle or cystic lesion with constituent vellus hair and several fragmentary follicular articulations extending from the central cavity is a characteristic of a trichofolliculoma. In addition, a prominently configured intervening stroma is cogitated, which is absent in pilar sheath acanthoma [6,7].
Trichofolliculoma demonstrates the presence of trichohyaline granules confined to secondary hair follicles. Hair follicles cogitated in trichofolliculoma are miniscule, mature and extensively differentiated, in contrast to the hair follicles of pilar sheath acanthoma. Configurations exemplified in secondary hair follicles of trichofolliculoma include the outer root sheath, inner root sheath and trichohyaline granules, articulations which are devoid in pilar sheath acanthoma. Epidermoid cyst is constituted of liberally packed keratinous lamellae and a cystic wall which simulates the follicular infundibulum. The cyst on ultrasound appears as a circumscribed, elliptical or spherical hypoechoic aggregate frequently associated with a hair follicle.
In an estimated 96% instances epidermoid cyst depicts a posterior sound enhancement and around 83% lesions are devoid of a signal on colour Doppler. Pilomatrixoma is enunciated as a benign superficial neoplasm of the hair follicle and is a frequent, solid cutaneous neoplasm cogitated in individuals below 20 years. On ultrasound, an elliptical, hypoechoic tumefaction is delineated with an intense, posterior acoustic shadow appearing at the junction of dermis and subcutaneous fat along with focally attenuated superimposed epidermis. Posterior acoustic shadow probably ensues on account of the frequent calcification encountered in pilomatrixoma [7,8]. Folliculo-sebaceous cystic hamartoma is cogitated as a heterogeneous lesion and sebaceous trichofolliculoma depicts an abundance of sebaceous glands. Inverted follicular keratosis, trichilemmoma, dilated pore of Winer, tumours of follicular infundibulum and pilar sheath acanthoma are neoplasm engendered from infundibular portion of the hair follicle. Aforesaid disorders depict common attributes such as a superficial location of neoplasm, continuity with superimposed epidermal layer, centric perforation akin to a distended pore, proliferation of outer epithelial sheath, infundibular keratinisation and association with pilosebaceous articulations. Multiple pilar sheath acanthoma necessitate a demarcation from conditions such as lymphangioma circumscriptum and trichofolliculoma [7,8].
Investigative Assay
Ultrasound is recommended to recognize the site and characteristics of the tumefaction. Ultrasound of pilar sheath acanthoma displays a distinct, elliptical hypoechoic nodule with hypoechoic capping appearing in the dermis at a specified location. Hypoechoic mass corresponds to the hypoechoic cap with an accompanying slender hypoechoic neck. Posterior acoustic enhancement of the nodule is absent. Colour Doppler displays an intrinsically vascular lesion with a hyper-vascular dermis. Thus, a well defined, hypoechoic, dermal tumefaction with a centroidal perforation, hypoechoic capping and enhanced vascular permeation is enunciated in pilar sheath acanthoma [8,9].
Therapeutic Options
Surgical eradication of the neoplasm is the preferred therapeutic modality. Surgical excision for retrieval of diagnostic tissue specimen also alleviates the benign condition. Additional therapy is usually irrelevant. Benign lesions can be eradicated for cosmetic considerations. Surgical elimination can be accompanied by electrodessication and curettage [8,9].
References
- Mehregan AH, Brownstein MH (1978) Pilar sheath acanthoma. Arch Dermatol 114: 1495-1497.
- Kushner JA, Thomas RS (2014) An unusual location of pilar sheath acanthoma. Int J Trichology 6(4): 185-186.
- Ba Wei, Wang W, Chengxin Li (2015) An unusual location of pilar sheath acanthoma. Int J Trichology7(4): 179-181.
- Kang DJ, Lee SJ, Seong Jin Kim (2017) Ultrasonographic findings of pilar sheath acanthoma: a case report. J Korean Soc Radiol 77(2): 129-132.
- Uyar B, Sivrikoz ON (2017) Multiple pilar sheath acanthomas on the scrotal region. Turkderm- Turk Arch Dermatol Venereol 51: 18-20.
- Beaman FD, Kransdorf MJ, Tricia RA, Murphey, Lynn KA, et al. (2007) Superficial soft tissue masses: analysis, diagnosis and differential considerations. Radiographics 27(2): 509-523.
- Bavikar RR, Gaopande V (2011) Postauricular pilar sheath acanthoma. Int J Trichology 3(1): 39-40.
- Elston DM, Ferringer T (2014) Pilar sheath and Sebaceous neoplasm. Dermatopathology Philadelphia 2nd (edn.). pp. 80.
- Rutten A (2009) Adnexal Tumour. Braun Falco’s Dermatopathology 3rd (edn.), pp. 1377-1396.

















