Immature Gastric Teratoma with Rhabdomyosarcomatous and Primitive Neuroectodermal Tumor Components in an Adult Patient: A Case Report
Katrina L Salazar1, David Alrahwan2, Kyle W Stephens3 and Jae Y Ro1*
1Department of Pathology and Genomic Medicine, Weill Medical College of Cornell University, USA
2Department of Pathology, Medicine and Surgery, Houston Methodist St. John Hospital, USA
3Department of Surgery, Houston Methodist Hospital St John Hospital, USA
Submission: February 03, 2017; Published: May 15, 2017
*Corresponding author:Jae Y Ro, Department of Pathology and Genomic Medicine, Houston Methodist Hospital, Weill Medical College of Cornell University, 6565 Fannin Street, Houston, Texas 77030, USA, Tel: 7134412263; Fax: 7137931603; Email: jaero@houstonmethodist.org
How to cite this article:Salazar KL, Alrahwan D, Stephens KW, Ro JY. Immature Gastric Teratoma with Rhabdomyosarcomatous and Primitive Neuroectodermal Tumor Components in an Adult Patient: A Case Report. Adv Res Gastroentero Hepatol 2017; 5(3): 555663. DOI: 10.19080/ARGH.2017.05.555663
Abstract
Gastric teratomas are extremely rare; the majority of cases are mature teratomas with less than two dozen immature teratomas reported. Most teratoma cases have been reported in the pediatric population with less than 10 cases reported in adults. We report a case of immature teratoma of the stomach in a 55-year-old man who presented with melena and epigastric abdominal pain. Under the clinical impression of gastric cancer, a subtotal gastrectomy was performed. Grossly, a fungating, friable, pedunculated mass (8cm in size) was identified in the gastric fundus. Histologically, an immature teratoma with rhabdomyosarcomatous and peripheral primitive neuroectodermal tumor components was identified. There was no associated gastric carcinoma or mature teratoma component.
Keywords: Stomach; Immature teratoma; rhabdomyosarcoma; Peripheral primitive neuroectodermal tumor, Adult
Introduction
Teratomas of the stomach are extremely rare, comprising only about 1% of all teratomas in the pediatric population [1,2]. The majority of cases are mature teratomas with less than two dozen reported cases of immature gastric teratoma [2-4]. Most reported gastric teratomas occur in the pediatric population and less commonly in adults. The most common location is the posterior wall or greater curvature of the stomach [5,6]. Rare cases of gastric teratoma have been reported on the wall of the cardiac orifice of an adult [7] and the lesser curvature [5,8,9]. Clinically, patients can present with an abdominal mass, vomiting, and gastrointestinal bleeding [10,11]. Computed tomography (CT) findings of gastric teratomas may include calcifications in solid cystic masses [5]. Here, we report a case of an immature teratoma in a 55-year-old man who presented with melena and epigastric abdominal pain. To the best of our knowledge, this is the first case of immature teratoma with no associated gastric carcinoma or mature teratoma components in an adult.
Case Report
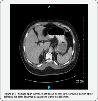
The patient was a 55-year-old Hispanic man who presented with anemia (hemoglobin (Hg) 7.6g/dL, hematocrit (Hct) 26%), epigastric abdominal pain, and melena. The patient had these symptoms for the past couple of months and they worsened 5 days prior to admission. His past medical history included hyperlipidemia and type 2 diabetes mellitus. On physical exam, he had a soft abdomen that was tender in the epigastric area, and had normal bowel sounds. On CT scan, an increased soft tissue density was identified in the proximal portion of the stomach (Figure 1). No other abnormality within the abdomen was found. Laboratory tests were unremarkable except for low hemoglobin and hematocrit. Preoperative serum tumor markers, such as alpha-fetoprotein (AFP), beta human chorionic gonadotropin (β-hCG), carcinoembryonic antigen (CEA), or lactic dehydrogenase (LDH) were not evaluated. Upper gastrointestinal endoscopy showed a polypoid mass (Figure 2). Due to continued bleeding, surgery was considered necessary and a was performed. H&E and immunohistochemical (IHC) stainings, including desmin (Ventana, Tucson, Arizona), MyoD1 (Cell Marque, Rocklin, California), neurofilament (Ventana, Tucson, Arizona), SALL-4 (Biocare Medical, Concord, California), and synaptophysin (Ventana, Tucson, Arizona), were performed


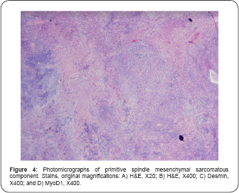
On gross examination, the fungating, partially fragmented, friable mass (8x6.5x2.6cm) was located in the fundus along the greater curvature, 2cm from the greater curvature margin (Figure 3). The cut surface was grayish-tan, focally necrotic, and hemorrhagic. The uninvolved gastric mucosa displayed normal rugal folds. No other solid mass or ulcer was identified. The entire mass was submitted for histologic evaluation. Histologic examination showed immature teratoma with primitive spindle and oval-round mesenchymal sarcomatous elements, which included a rhabdomyosarcomatous (RS) component, confirmed by positivity of desmin and MyoDl (Figure 4A-C) and a peripheral primitive neuroectodermal tumor (PNET) component confirmed by SALL-4, neurofilament, and synaptophysin (Figure 5A-D). No mature teratoma component or gastric carcinoma was seen. The tumor involved the entire wall and invaded into perigastric fibro-adipose tissue. The postoperative course was uneventful; the patient remained well, with no evidence of residual disease or metastasis. Postoperative tumor markers (AFP and β-hCG) were within normal limits.









Discussion
Teratomas are neoplasms comprising all three germinal cell layers (ectoderm, endoderm, and mesoderm). Mature teratomas are composed ofwell-differentiated tissue whereas immature teratomas contain various immature fetal tissues. In the pediatric population, teratomas most commonly occur in gonads, the sacrococcygeal region, and mediastinum, and rarely in the retroperitoneum, cranium, and cervix [3,8,12]. Gastric teratomas, mostly mature, are exceedingly rare with just over 100 cases reported in the literature since 1922 [4,12]. Most of these cases were reported in infants and children, and the majority was male infants with less than 10 cases in females [5,8,12,13,14]. In adults, however, fewer than 10 cases have been reported for ages ranging from 20 to 83 years (Table 1) [7,8,11,16,17].

*Modified from Liu et al. [7] “Primary gastric teratoma on the cardiac orifice in an adult
The most common presentation is a palpable abdominal mass or abdominal distension during the first year of life [18]. Few cases can present with hemorrhage [19], melena [20], or rarely, perforation [22]. Most cases are benign, but malignant transformation (invasive adenocarcinoma), arising from an immature gastric teratoma, has been reported in an 83-year-old man [8]; however, sarcomatous transformation with RS and PNET, which was found in our case, has not been previously reported. The exact cause of gastric teratoma is not known; currently, it is hypothesized that these masses originate from migrated totipotential germ cells [4,14].
As in the present case, most gastric teratomas arise in the greater curvature or the posterior wall of the antrum and fundus [3]. Extra gastric growth occurs in the majority of cases whereas mixed extra gastric and endogastric growth is rare [3,12].
In this case, the immature teratoma consists of RS and PNET components without mature teratoma component or associated gastric carcinoma. Due to their rarity and various possible histologic patterns, gastric teratomas may be misdiagnosed in adults. Differential diagnosis includes rhabdomyosarcoma, malignant small round cell tumor, or other spindle cell sarcomas.
CT and ultrasound findings typically show a heterogeneous mass with cystic and solid components as well as fat and calcifications [4,19]. The present mass showed soft tissue density without any fat or calcifications. Lack of the typical teratoma findings on CT led to different differential diagnosis including gastric carcinoma and gastrointestinal stromal tumor The definitive diagnosis is only possible after taking into consideration the results from surgical excision with histological examination.
Complete surgical excision with tumor free margins and longterm follow-up are the standard management for teratomas [23]. Close follow-up with adjuvant chemotherapy has been recommended for patients with elevated AFP after surgery [6], whereas others recommend aggressive postoperative chemotherapy if there is histologic evidence of grade 3 immature teratoma or malignancy [24,25]. Others suggest chemotherapy only after recurrence or metastasis is evident [15]. Monitoring serum AFP levels to detect recurrence has also been recommended [19]. The previous recommendations have been made for the pediatric population; however, no definitive recommendations are available for adults. In this case, serum biomarkers were not evaluated because teratoma was not suspected. After the diagnosis of immature teratoma was made, postoperative serum biomarkers (AFP and p-hCG) were measured and showed within normal limits. The serum biomarker evaluation during follow up may be potentially important to check tumor recurrence.
In summary, we report an unusual case of immature teratoma with RS and PNET components, which has not been previously reported in the literature.
References
- Gupta DK, Srinivas M, Dave S, Agarwala S, Bajpai M, et al. (2000) Gastric teratoma in children. Pediatr Surg Int 16(5-6): 329-332.
- Saha M (2010) Malignant gastric teratoma: report of two cases from a single center. Pediatr Surg Int 26(9): 931-934.
- Kumar S, Yadav H, Rattan KN, Srivastava D, Chandana A, et al. S (2016) Immature Gastric Teratoma in a Newborn: A Case Report. J Neonatal Surg 5(2): 21-22.
- Anilkumar MG, Jagadishkumar K, Girish GN, Sunila (2013) Immature gastric teratoma in an infant. Indian J Surg 75(Suppl 1): 453-455.
- Utsch B, Fleischhack G, Knopfle G, Hasan C, Bode U (2001) Immature gastric teratoma of the lesser curvature in a male infant. J Pediatr Gastroenterol Nutr 32(2): 204-206.
- Corapcioglu F, Ekingen G, Sarper N, Guvenc BH (2004) Immature gastric teratoma of childhood: a case report and review of the literature. J Pediatr Gastroenterol Nutr 39(3): 292-294.
- Liu L, Zhuang W, Chen Z, Zhou Y, Huang XR (2009) Primary gastric teratoma on the cardiac orifice in an adult. World J Gastroenterol 15(14): 1782-1785.
- Matsukuma S, Wada R, Daibou M, Watanabe N, Kuwabara N, et al. (1995) Adenocarcinoma arising from gastric immature teratoma. Report of a case in an adult and a review of the literature. Cancer 75(11): 2663-2668.
- Moriuchi A, Nakayama I, Muta H, Taira Y, Takahara O (1977) Gastric teratoma of children-- a case report with review of the literature. Acta Pathol Jpn 27(5): 749-758.
- Kumar V, Godara R, Bharadwaj R, Arora M (2013) Gastric teratoma- unusual cause of neonatal obstructive jaundice: a case report. Indian J Surg 75(Suppl 1): 421-424.
- Gray SW, Johnson HCJr, Skandalakis JE (1964) Gastric Teratoma in an Adult: with a Review of the Literature. South Med J 57: 1346-1351.
- Ukiyama E, Endo M, Yoshida F, Tezuka T, Kudo K, et al. (2005) Recurrent yolk sac tumor following resection of a neonatal immature gastric teratoma. Pediatr Surg Int 21(7): 585-588.
- Eustermann GB SE (1922) Benign tumours of the stomach: report of 27 cases. Surg Gynecol Obstet 34: 372-378.
- Joo M, Kang YK, Lee HK, Lee HS, Yum HK, et al. (1999) Intrapulmonary and gastric teratoma: report of two cases. J Korean Med Sci 14(3): 330304.
- Bourke CJ, Mackay AJ, Payton D (1997) Malignant gastric teratoma: case report. Pediatr Surg Int 12(2/3): 192-193.
- Gengler JS, Ashcraft KW, Slattery P (1995) Gastric teratoma: the sixth reported case in a female infant. J Pediatr Surg 30(6): 889-890.
- Morrison L, Snodgrass P, Wiseman H (1975) Gastric teratoma: report of a case and a review of the literature. Clin Pediatr (Phila) 14(8): 712717.
- Haley T, Dimler M, Hollier P (1986) Gastric teratoma with gastrointestinal bleeding. J Pediatr Surg 21(11): 949-50.
- Wakhlu A, Wakhlu AK (2002) Paediatric gastric teratoma. Eur J Pediatr Surg 12(6): 375-388.
- Park WH, Choi SO, Kim JI (2002) Congenital gastric teratoma with gastric perforation mimicking meconium peritonitis. J Pediatr Surg 37(5): E11.
- Ijaz L, Aslam I, Sheikh A, Mirza B (2011) Mature gastric teratoma: the mixed exogastric and endogastric variety. APSP J Case Rep 2(2): 17.
- Sharif M, Mirza B, Ijaz L, Iqbal S, Sheikh A (2010) Immature gastric teratoma: a rare tumour. APSP J Case Rep 1(2): 17.
- Luo CC, Huang CS, Chu SM, Chao HC, Yang CP, et al. (2005) Retroperitoneal teratomas in infancy and childhood. Pediatr Surg Int 21(7): 536-540.
- Marina NM, Cushing B, Giller R, Cohen L, Lauer SJ, et al. (1999) Complete surgical excision is effective treatment for children with immature teratomas with or without malignant elements: A Pediatric Oncology Group/Children's Cancer Group Intergroup Study. J Clin Oncol 17(7): 2137-2143.
- Fadeeva VN, Shafer II (1960) A case of teratoma of the stomach. Arkh Patol 22: 55.

















